Higiene alimentaria

Por editora, 24 Enero, 2019

La Salmonella no es la bacteria que más casos de toxiinfecciones alimentarias provoca en la UE, Campilobacter la supera con creces, sin embargo se mantiene, desde hace muchos años, como la bacteria de transmisión alimentaria que más brotes alimentarios con origen conocido provoca entre la población europea. La mayor parte de estos brotes están relacionados con el consumo de huevos y ovoproductos.

Por editora, 16 Enero, 2019

La colibacilosis aviar, producida por la bacteria E.coli, y la salmonelosis estan entre las principales infecciones bacterianas que afectan al sector avícola, con un fuerte impacto económico y en la seguridad alimentaria. El proyecto europeo PhagoVet responde a la necesidad del mercado de una solución segura y eficiente para controlar estas infecciones, minimizando el uso de los antibióticos. La propuesta se basa en el uso de bacteriófagos.

Por editora, 14 Enero, 2019

Los sistemas de limpieza CIP (Cleaning in Place) permiten la limpieza de los equipos de las líneas de producción en la industria alimentaria sin que sea necesario su desmontaje, lo que supone ventajas en cuanto a mantener un óptimo nivel de higiene con mayor eficiencia, productividad, seguridad y reducción de costes. Sin embargo, es importante revisar periódicamente si su funcionamiento es adecuado a las necesidades de la instalación.

Por editora, 9 Enero, 2019

Dentro de su colección de fichas de agentes biológicos, el Instituto Nacional de Seguridad e Higiene en el Trabajo (INSHT) ha publicado una ficha dedicada a Cryptosporidium, como herramienta para ayudar a evaluar, prevenir y controlar el riesgo biológico producido por este parásito en exposiciones laborales. Entre las actividades laborales con riesgo se incluyen las relacionadas con la tierra, los animales y el agua, la industria alimentaria y las actividades sanitarias y laboratorios.

Por editora, 7 Enero, 2019

El uso de redes tratadas con insecticidas de efecto de larga duración, ampliamente utilizadas para el control de enfermedades transmitidas por los mosquitos, puede ser también una tecnología prometedora para prevenir infestaciones de insectos en productos agroalimentarios almacenados. Más que una barrera física, la red tendria un efecto insecticida letal directo o subletal sobre el comportamiento de los insectos, impidiendoles moverse y dispersarse por las instalaciones.

Por editora, 3 Enero, 2019

A diferencia de la salmonelosis y la campilobacteriosis, cuyo número de casos en la UE se ha mantenido estable durante los últimos cinco años, la listeriosis sigue su tendencia de crecimiento. A pesar de que su incidencia es mucho menor que la de otras zoonosis, la listeriosis es de gran relevancia para la salud pública por ser una de las enfermedades más graves transmitidas por los alimentos.

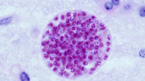
Por editora, 27 Diciembre, 2018

La EFSA ha publicado una Opinión Científica sobre la incidencia y el control de tres parásitos de transmisión alimentaria con especial relevancia en Europa: Cryptosporidium spp., Toxoplasma gondiiEchinococcus spp. Actualmente no existen controles de rutina para estos parásitos en los alimentos y, además, se ha detectado una escasez de métodos estandarizados y validados que permitan analizar los alimentos como vehículo de las infecciones causadas por estos parásitos.

Por editora, 17 Diciembre, 2018

Un nuevo avance tecnológico al servicio de la seguridad alimentaria: un dispositivo portátil que permite realizar, en segundos, ensayos microbiológicos no invasivos y con un nivel de precisión similar a los métodos microbiológicos estándar. Está pensado para empresas de toda la cadena de producción de carne; mataderos, salas de despiece, empresas procesadoras, comerciantes, mayoristas y carniceros.

Por editora, 13 Diciembre, 2018

Las cepas de Escherichia coli patogénicas con habilidad para producir toxinas Shiga (STEC) son una causa importante de enfermedades transmitidas por los alimentos. Un informe de FAO/OMS recopila la información disponible sobre estas bacterias en relación a su carga global de enfermedad, su presencia en alimentos, asi como la identificación y monitorización de sus peligros asociados. 

Por editora, 10 Diciembre, 2018

Una nueva evaluación de la EFSA sobre el riesgo del consumo de dioxinas y PCBs en la dieta de los ciudadanos de la UE confirma que la exposición a estas sustancias es un riesgo para la salud humana. La Agencia ha establecido una nueva ingesta semanal tolerable siete veces menor que la establecida en 2001, basándose en los nuevos datos científicos disponibles sobre los efectos de estas sustancias tóxicas en humanos y animales.